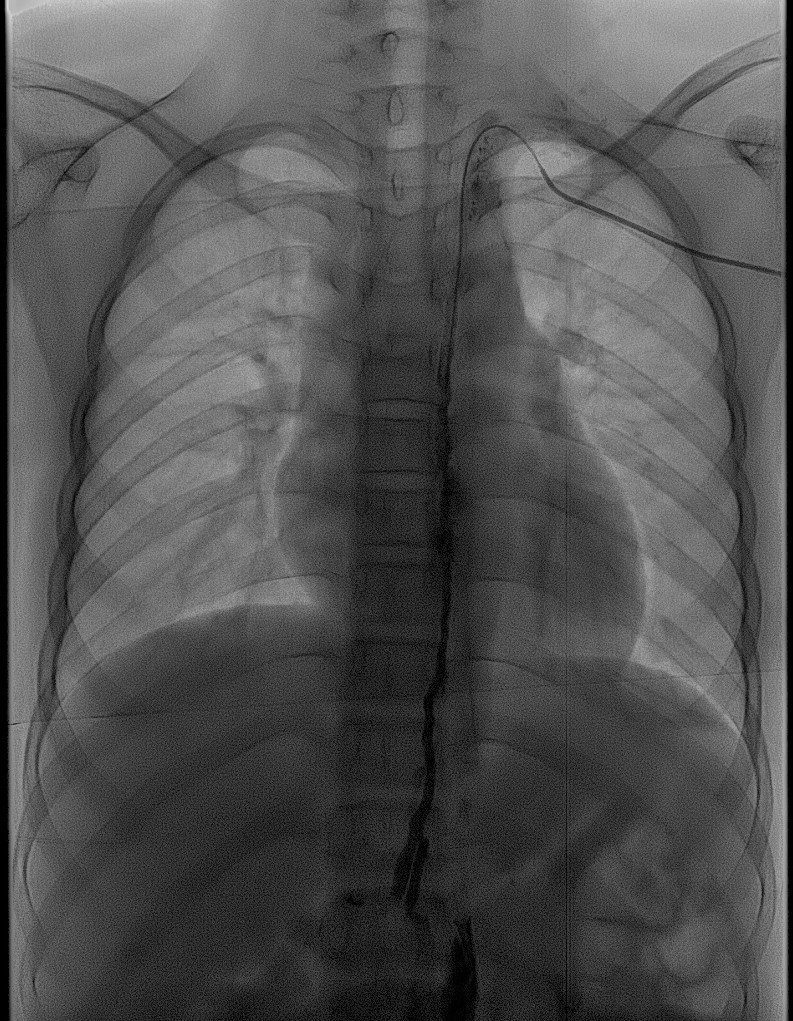
春节临近,四川大学华西第二医院放射科刘灵军博士带领介入医技护团队,成功为一例阴道乳糜瘘的13岁女性患儿以介入方式进行了“淋巴造影+硬化治疗手术”。在超声科万晋州老师的超声精准定位引导下,刘灵军博士用穿刺针进入直径不到1cm的淋巴结,然后在DSA监视下顺利实施淋巴结内造影及硬化治疗,同时经贵要静脉行胸导管逆行造影和疏通术。经过近7小时的奋战,手术非常成功。
该患儿患阴道乳糜瘘10多年,能明显感觉到会阴部不自主漏液,每日漏夜可完全浸湿6-8片尿不湿,生活质量差,严重影响患儿的身心健康。患儿父母带着患儿四处求医,辗转多家医院治疗无果后找到我院放射科介入亚专业组长刘灵军博士。刘灵军博士在充分了解患儿病情后,积极主动与临床多学科讨论,结合影像学检查诊断为“腹盆腔淋巴管发育畸形,与生殖系统有交通的异常发育的淋巴管破裂导致阴道乳糜瘘”,有介入手术指征。此类病例文献报道罕见,缺少成熟完整的手术方案。介入诊疗团队通过研究决定,在超声引导下穿刺腹股沟淋巴结行“淋巴造影和硬化治疗”,同时经贵要静脉行“胸导管逆行造影和疏通术”。医技护团队通力合作,连续奋战7个小时,以辛勤的汗水与精湛的技术相结合,顺利完成预定诊疗进程,术中患儿就自觉阴道漏液感消失,术后恢复良好。
目前放射科介入团队已开展妇产科和儿科多项介入手术,并为妇产科大出血急诊介入手术24小时待命,为患者身心健康保驾护航。



